Vasculopatía cutánea y glomerular renal en 3 perros
Repasamos a través de 3 casos clínicos esta interesante y poco reconocida enfermedad.
¡Hola! 👋
Comparto una serie de casos muy interesantes que vi durante mi residencia de medicina interna en Dublin (Irlanda). Se trata de tres perros diagnosticados con una vasculopatía cutánea y glomerular renal o “Alabama rot”. Las imágenes adjuntas son muy gráficas de la enfermedad.
Espero que te resulte tan interesante como a mi 🤓
Primero un poco de información…
La vasculopatía cutánea y glomerular renal (VCGR, por sus siglas) es una enfermedad vascular de etiología desconocida asociada a lesiones cutáneas y a daño renal agudo.
Esta afección fue descrita por primera vez en galgos que residían en Norteamérica en 1988.
Debido al gran número de galgos afectados confinados a un hipódromo específico en Alabama, la enfermedad fue denominada “Alabama Rot”.
Posteriormente, también se notificaron casos en otras regiones de Norteamérica.
Los primeros informes en Europa datan de 2000 y 2002, respectivamente, y se refieren a un galgo en el Reino Unido y a un gran danés en Alemania.
Desde entonces, se han publicado datos de 30 casos confirmados en el Reino Unido entre noviembre de 2012 y marzo de 2014, aunque en la actualidad este número supera los 160.
Hasta la fecha (que personalmente sepa), en España no se han confirmado casos de forma oficial con evidencia científica.
Desde el punto de vista clínico, los perros afectados presentan lesiones cutáneas erosivas y/o ulcerativas que afectan a las extremidades distales, la superficie ventral del cuerpo y la cavidad oral y el hocico.
Aunque algunos perros pueden recuperarse por completo, lo habitual es una progresión rápida (días) hacia enfermedad renal aguda, a menudo acompañada de oliguria o anuria.
Además, entre las alteraciones clinicopatológicas más frecuentes se incluyen la ictericia, la anemia y la trombocitopenia, si bien se ha documentado una amplia variedad de anomalías.
El tratamiento es en gran medida empírico y el pronóstico es reservado a desfavorable, dependiendo de la magnitud de la enfermedad renal aguda.
Se ha sugerido que la terapia de intercambio plasmático podría mejorar el pronóstico, habiéndose descrito la supervivencia de dos de seis casos sometidos a este tratamiento.
El rasgo histopatológico característico de la VCGR es la microangiopatía trombótica, observada con mayor frecuencia en los glomérulos renales.
Este proceso se caracteriza por el desarrollo de trombosis microvasculares asociadas a daño endotelial, lo que da lugar a trombocitopenia de consumo, anemia hemolítica y daño multiorgánico.
En la histopatología dérmica se han identificado necrosis epidérmica, hemorragia subcutánea, necrosis fibrinoide de pequeñas arteriolas, infiltrado inflamatorio mixto y trombosis ocasional.
La etiología es desconocida, aunque se han propuesto múltiples posibilidades, entre ellas la ingestión de bacterias asociada a la toxina Shiga.
Sin embargo, los estudios no han logrado identificar de manera consistente la presencia de toxina Shiga, ni de bacterias o virus en los tejidos de los casos afectados.
La microscopía electrónica con inmunotinción tampoco ha conseguido demostrar la deposición de complejos inmunes en los casos afectados.
A pesar de ello, se han identificado varios factores de riesgo para el desarrollo de la enfermedad, entre ellos pertenecer a los grupos de sabuesos (hound) o perros de caza, así como determinadas razas individuales como el springer spaniel inglés, el flat-coated retriever, el vizsla húngaro y el whippet, además de ser hembra y estar esterilizado.
La mayoría de los diagnósticos se realizan entre noviembre y mayo, y la distribución de los casos está fuertemente asociada a hábitats boscosos.
Asimismo, se han descrito múltiples casos dentro de un mismo hogar.
En la siguiente sección, describimos tres perros diagnosticados con VCGR en la República de Irlanda.
Presentación de los casos
Caso 1
Perra vizsla húngara entera, de 4 años de edad, presentó con una lesión cutánea negruzca, necrótica, de aproximadamente 2 cm de diámetro, localizada en la región umbilical del abdomen ventral (imagen adjunta).
La perra se encontraba aletargada, moderadamente deshidratada e ictérica. Se observaron equimosis extensas en el abdomen ventral y en el aspecto ventrolateral del tórax de forma bilateral.
Las pruebas hematológicas, bioquímicas, el análisis de orina y los estudios de coagulación identificaron trombocitopenia (19 × 10⁹/L [150–500]), azotemia (creatinina 283 µmol/L [20–120]; urea 40,6 mmol/L [3,6–8,6]), panhipoproteinemia (proteínas totales 41,8 g/L [54–71]), hiperbilirrubinemia (258 µmol/L [0,9–10]), aumento de la creatina quinasa (1590 U/L [0–122]) y de las actividades de las enzimas hepáticas (fosfatasa alcalina 4200 U/L [0–82], alanina aminotransferasa 1087 U/L [0–36], glutamato deshidrogenasa 370 U/L [0–16] , aspartato aminotransferasa 749 U/L [0–37]), tiempo de protrombina prolongado (17,2 s [7–14]), glucosuria (3+) y proteinuria (3+).
La PCR para enfermedades transmitidas por garrapatas (Babesia spp., Anaplasma spp., Ehrlichia spp. y Hepatozoon canis) y la prueba de aglutinación microscópica (MAT) para Leptospira fueron negativas.
Las pruebas de imagen torácica y abdominal identificaron microcardia y material ecogénico en la vejiga urinaria, compatible con hemorragia.
Se instauró un manejo estándar para enfermedad renal aguda y soporte (fluidoterapia, antieméticos, gastroprotectores), además de terapia antimicrobiana (amoxicilina–clavulanato y doxiciclina) dada la posibilidad de leptospirosis, mientras se esperaban los resultados de las pruebas.
No obstante, la perra continuó deteriorándose, con empeoramiento de la anemia (hematocrito 0,16 L/L [0,37–0,55]), azotemia (creatinina 691 µmol/L; urea 57 mmol/L) e hiperbilirrubinemia (425 µmol/L), por lo que se procedió a la eutanasia humanitaria a petición del tutor.
Estas son las imágenes de la lesión abdominal pasadas 24 y 48 horas tras la hospitalización:
Los hallazgos macroscópicos relevantes en la necropsia incluyeron equimosis en la cápsula renal y en la pared de la vejiga urinaria, así como parénquima pulmonar congestionado y edematoso.
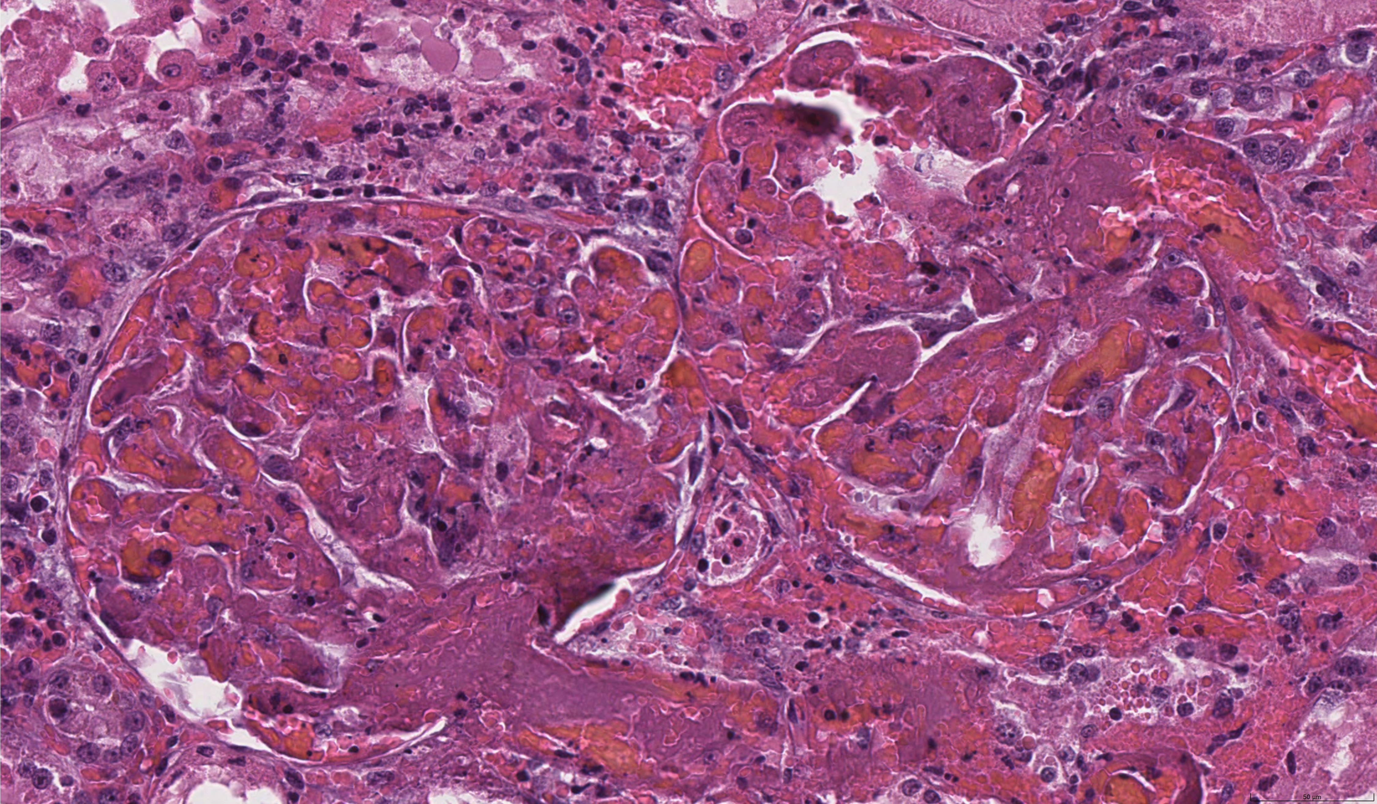
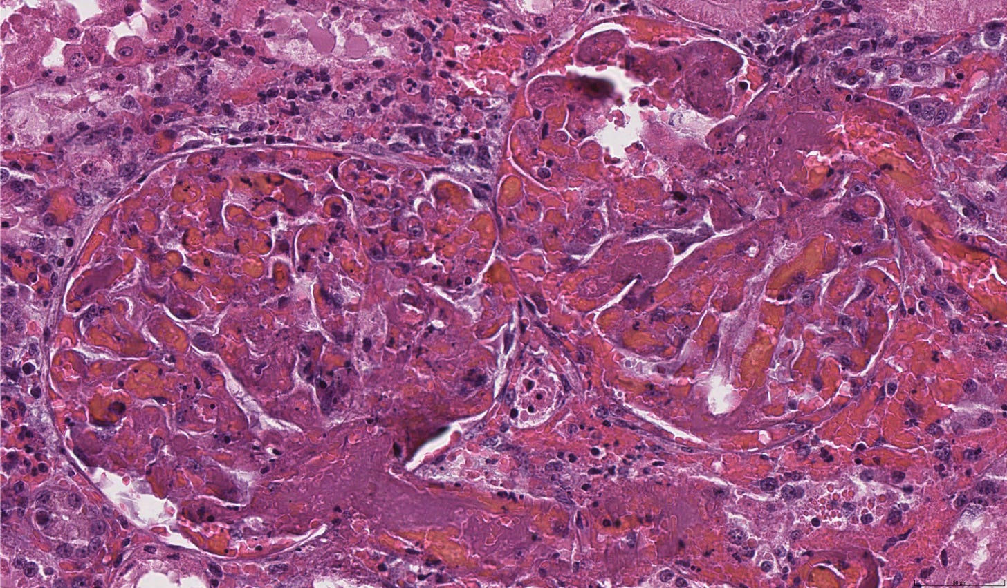
El examen histopatológico reveló microtrombosis y necrosis de los penachos glomerulares renales y, de forma multifocal, del epitelio tubular. Se confirmó hemorragia transmural en la vejiga y se observaron microtrombos ocasionales en el pulmón.
Asimismo, se evidenció necrosis focal y pérdida de hepatocitos distribuidas de manera aleatoria.
En ese momento, la VCGR no era una entidad bien reconocida, por lo que fue necesaria una reevaluación retrospectiva de los datos post mortem para confirmar el diagnóstico.
⚠️ ¿Aún no te has inscrito al próximo Curso de Endocrinología? Pincha en la imagen si quieres revisar todo el contenido y el programa ¡Quedan pocas plazas!
Caso 2
Perra golden retriever esterilizada, de 4 años de edad, presentó con una lesión cutánea grande y necrótica que afectaba al abdomen ventral y al miembro posterior izquierdo, extendiéndose desde el abdomen ventral caudal hasta la porción media del vientre (imagen adjunta).
Se observó edema con fóvea en el miembro posterior izquierdo.
La perra se encontraba aletargada, con movilidad muy reducida e ictérica. Se identificaron múltiples petequias generalizadas.
Las pruebas hematológicas, bioquímicas, el análisis de orina y los estudios de coagulación identificaron anemia no regenerativa (hematocrito 0,34 L/L), trombocitopenia (19 × 10⁹/L), leucocitosis (recuento leucocitario 25,01 × 10⁹/L [6–17]), aumento de la concentración de urea (15,3 mmol/L), panhipoproteinemia (proteínas totales 41,2 g/L), hiperbilirrubinemia (237,2 µmol/L), aumento de la CK (3041 U/L) y de las actividades de las enzimas hepáticas (ALP 915 U/L, ALT 141 U/L, AST 598 U/L), glucosuria (2+), proteinuria (2+) y cilindros granulares en la orina.
La evaluación de la concentración de lipasa pancreática canina (cPLI) mediante SNAP™ fue anormal (valor cuantitativo 234 µg/L [< 200], en el rango equívoco).
La anemia, los parámetros renales y la hiperbilirrubinemia (hematocrito 0,29 L/L, creatinina 181 µmol/L, urea 22,7 mmol/L, bilirrubina 336,9 µmol/L) empeoraron durante las primeras 24 h.
Se administró el tratamiento estándar para enfermedad renal aguda (fluidoterapia, antieméticos, gastroprotectores y diuréticos); sin embargo, la producción urinaria disminuyó (hasta 0,8 mL/kg/hora) y la creatinina aumentó (305 µmol/L) a pesar de la terapia.
Los tutores optaron por la eutanasia humanitaria al tercer día de tratamiento.
El examen post mortem reveló necrosis fibrinoide y microtrombosis en los glomérulos renales, los sinusoides hepáticos y las paredes del estómago y del intestino delgado, con hemorragia, necrosis e inflamación asociadas.
Se observó edema e inflamación dérmicos marcados, con necrosis de la epidermis suprayacente.
En el tejido subcutáneo se identificaron necrosis, hemorragia e inflamación multifocales, destacando la presencia de necrosis fibrinoide de arteriolas.
Caso 3
Perro macho vizsla húngaro entero, de 6 meses de edad, presentó con una lesión cutánea bien delimitada, ulcerativa y exudativa en el aspecto dorsolateral del carpo izquierdo (imagen adjunta).
También se observó una lesión más pequeña de apariencia similar en la cara palmar de la pata torácica izquierda, así como múltiples pequeñas úlceras en la lengua (imagen adjunta).
Las pruebas hematológicas, bioquímicas, el análisis de orina y los estudios de coagulación identificaron azotemia (creatinina 179 µmol/L, urea 31,1 mmol/L), hiperfosfatemia (3,87 mmol/L [0,8–1,8]), proteinuria (3+) y cilindros granulares en la orina.
El SNAP™ cPLi fue anormal (valor cuantitativo > 2000 µg/L, compatible con pancreatitis).
Las pruebas SNAP™ para Leptospira, SNAP™ 4DX, Angiodetect™ y el método de Baermann modificado fueron negativas.
La ecografía abdominal identificó cortezas renales moderadamente engrosadas e hiperecogénicas de forma difusa, con un reborde hiperecogénico en la unión corticomedular, de manera bilateral.
El perro fue tratado con terapia antimicrobiana (amoxicilina–clavulánico) y fluidoterapia intravenosa.
Durante el segundo día de hospitalización se desarrollaron episodios convulsivos, produciéndose tres de ellos en un intervalo de 24 h.
No se observó ningún cambio en el estado mental tras el desarrollo de los episodios convulsivos; sin embargo, el perro se mantuvo muy decaído durante todo el periodo de hospitalización.
A lo largo de 3 días de tratamiento, la azotemia empeoró de forma marcada (creatinina 412 µmol/L; urea 60,6 mmol/L) y se desarrolló trombocitopenia (recuento plaquetario manual 75 × 10⁹/L).
Debido a la progresión de las alteraciones clínicas y clinicopatológicas, los tutores optaron por la eutanasia.
Aspecto de la lesión carpal previo a la eutanasia:
Los hallazgos macroscópicos relevantes en la necropsia incluyeron petequias y equimosis en la mucosa gástrica e intestinal, en las cortezas renales y en las leptomeninges (imagen adjunta).
El examen histopatológico reveló necrosis fibrinoide arteriolar y microtrombosis en los glomérulos renales, en el miocardio, el pulmón y el páncreas, de forma transmural en el intestino delgado, en la dermis y el tejido subcutáneo, y de manera focal en el cerebro. Se observaron grados variables de hemorragia, necrosis e inflamación asociadas (imagen adjunta).
Y si te ❤️ VETPIL por muy poco puedes apoyar mi contenido a la vez que recibes todo esto:
Acceso exclusivo al 📁 Archivo con +200 publicaciones disponibles
Posibilidad de hacer 🙋 comentarios en las publicaciones para consultar dudas
Acceso exclusivo al nuevo contenido semanal
Acceso exclusivo al archivo de 🎙️ VETPIL Podcast
Discusión y conclusiones
Los tres perros descritos representan los primeros casos de VCGR comunicados en la República de Irlanda.
Dos de los tres perros eran vizslas húngaros, raza que previamente se ha descrito con un mayor riesgo de desarrollar la enfermedad.
De forma similar a informes previos que describen una asociación entre el desarrollo de VCGR y los paseos en hábitats boscosos, se sabe que dos de los tres casos habían caminado por zonas boscosas en los días previos a la aparición de los signos clínicos.
Uno de los perros convivía con otro perro; sin embargo, a diferencia de informes previos en los que se vieron afectados varios perros del mismo hogar, el animal conviviente no desarrolló la enfermedad.
Los tres perros se presentaron con una variedad de lesiones cutáneas, evidencia de enfermedad renal aguda (ya presente en el momento de la presentación o desarrollada rápidamente tras la aparición de las lesiones cutáneas) y trombocitopenia.
Dos de los tres casos presentaron hiperbilirrubinemia.
Estos hallazgos clinicopatológicos son similares a los descritos en casos previos de VCGR. Además, la prueba SNAP™ de cPLi, realizada en dos de los tres perros, fue anormal en ambos (en el rango equívoco y compatible con pancreatitis, respectivamente, en los casos dos y tres según la cuantificación).
Esto es similar a un informe previo, en el que todos los casos de VCGR en los que se realizó la prueba de cPLi presentaron resultados anormales.
Es posible que la concentración anormal de cPLi en los casos de VCGR sea consecuencia de una reducción de la tasa de filtración glomerular, dado que previamente se ha demostrado que la lipasa pancreática puede aumentar en algunos perros con enfermedad renal aguda inducida experimentalmente.
Sin embargo, la microtrombosis pancreática, como la observada en el caso 3 (el perro con el valor cuantitativo más elevado) también podría considerarse un posible mecanismo responsable del aumento de la actividad de la lipasa pancreática.
En cuanto a posibles etiologías infecciosas, los tres perros fueron sometidos a pruebas para leptospirosis y enfermedades transmitidas por vectores, todas con resultados negativos.
Esto es concordante con informes previos en los que no se ha identificado de forma consistente una etiología infecciosa.
Del mismo modo, el cultivo bacteriano de las lesiones cutáneas en dos de los tres casos no mostró crecimiento de Escherichia coli que apoyara la posibilidad de infección por cepas productoras de toxina Shiga o toxina Shiga-like. Lamentablemente, no se realizó cultivo fecal en ninguno de los casos.
Los tres perros fueron examinados post mortem y presentaron lesiones compatibles con un diagnóstico de VCGR (microangiopatía trombótica renal característica).
También se identificó trombosis en la vasculatura intestinal en los casos 2 y 3, y en la vasculatura hepática en el caso 2.
Hasta donde sabemos, las alteraciones intestinales y hepáticas no habían sido descritas previamente.
La patología intestinal podría contribuir a los signos gastrointestinales (inapetencia, vómitos) que preceden al desarrollo de azotemia en algunos casos de VCGR.
Uno de los perros desarrolló episodios convulsivos poco después del ingreso.
Este hallazgo ha sido descrito en casos previos de VCGR, en los que el análisis histopatológico del tejido nervioso reveló cambios leves inespecíficos y degeneración y necrosis neuronal multifocal con hemorragia y edema.
En el caso 3, la histopatología del cerebro identificó una pequeña región focal de microtrombosis con necrosis asociada, microhemorragia e inflamación de la sustancia gris adyacente, hallazgos compatibles con microangiopatía trombótica.
Esta es la primera publicación que documenta MAT en los vasos cerebrales de un perro con VCGR, y sugiere una posible etiología para los episodios convulsivos observados.
Se ha observado que la enfermedad ocurre en agrupamientos en relación con factores temporales y espaciales cuando se analizan grupos de casos de VCGR.
Dos agrupamientos se produjeron en la región de New Forest, Reino Unido, en febrero–marzo de 2013 y abril de 2015–2017, y otro en Manchester, Reino Unido, en febrero–abril de 2014.
Aunque estos agrupamientos podrían haberse generado de forma artefactual debido a una mayor concienciación y vigilancia en dichas áreas y periodos, persiste la posibilidad de que algún factor ambiental, ya sea infeccioso, tóxico u otro, contribuya al desarrollo de la VCGR.
De manera interesante, dos de los tres casos descritos en este informe residían dentro de un radio de siete millas entre sí, aunque se presentaron con una diferencia temporal de cuatro años.
Conclusión
Esta serie de casos fue la primera en describir perros con VCGR presentados en la República de Irlanda.
¿Tenemos casos en España no diagnosticados?
Un reconocimiento más temprano facilitará la intervención terapéutica y podría contribuir a mejorar el pronóstico en futuros casos.
Espero que te haya resultado de interés 🤓
¡Gracias por formar parte de VETPIL! 😊
- Carlos Martínez Gil














