Estenosis nasofaríngea en una gata tratada con dilatación con balón
Repasamos paso a paso este interesante caso.
¡Hola! 👋
En esta ocasión te traigo un nuevo caso de estenosis nasofaríngea en una gata tratada mediante “dilatación con balón” 🐈
Te muestro todo el abordaje paso a paso, incluyendo vídeos del diagnóstico, tratamiento y respuesta 🤓
Te presento a Arya, una gatita de 8 años con historia crónica de estertor nasofaríngeo (desde la adopción) y episodios intermitentes de vómito/regurgitación 🐈
En los siguientes vídeos puedes observar cómo muestra ruidos respiratorios (fase inspiratoria) compatibles con estertor:
Hacemos un pequeño paréntesis. Arya presentó la semana previa a esta consulta con signos digestivos más acusados (vómitos / regurgitación). Esta eran sus radiografías, donde si no conociéramos el caso podríamos sospechar de un proceso digestivo obstructivo (puedes apreciar incluso megaesófago en la porción visible):
Estas imágenes en combinación con la patología respiratoria de Arya ilustra un bonito ejemplo de “síndrome aerodigestivo”. Recordemos que este síndrome describe la interacción patológica entre el tracto respiratorio superior y el tracto digestivo superior (faringe, laringe, esófago).
En gatos, cuando existe una estenosis nasofaríngea, se puede producir una disfunción aerodigestiva secundaria, ya que las alteraciones en el flujo aéreo nasal y faríngeo modifican la fisiología normal de la deglución, la presión intratorácica y la coordinación respiratoria-digestiva.
¡Volvemos al abordaje del caso!
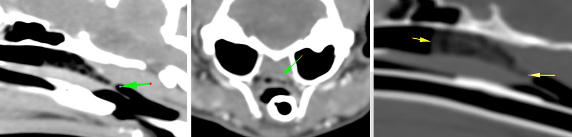
Realizamos imagen avanzada del cráneo, donde podemos observar en el aspecto caudal de la nasofaringe una estenosis grave con pérdida casi completa de la luz (flechas verdes).
Oralmente a esta estenosis se observa leve aumento de espesor del paladar blando, además hay acúmulo de material hipoatenuante sin realce aparente mezclado con burbujas de gas (flechas amarillas).
La altura de la nasofaringe previo a la estenosis es de 6,6 mm, el ancho 1,1 cm. La distancia entre el paladar duro y la estenosis es de 3 cm.
Realizamos nasofaringoscopia, confirmando la presencia de la estenosis mínimamente perforada (puedes observar el pequeño orificio asociado al tejido membranoso):
Pasamos una guía a través del defecto nasofaríngeo, la cual nos permitirá “cebar” el balón de dilatación hasta este punto.
Procedemos al examen fluoroscópico para asistir el proceso de dilatación con balón. En este primer vídeo puedes apreciar el balón parcialmente hinchado con contraste, “dibujando” el punto de estenosis (pequeña muesca en aspecto ventral y dorsal):
Llenado completo del balón. Puedes observar como va desapareciendo la “muesca”.
Mantenemos durante 1 minuto el llenado completo del balón, apenas puede apreciarse el defecto de llenado. Repetimos este proceso 3 veces.
Si te ❤️ VETPIL por muy poco puedes apoyar mi contenido a la vez que recibes todo esto:
Acceso exclusivo al 📁 Archivo con +200 publicaciones disponibles
Posibilidad de hacer 🙋 comentarios en las publicaciones para consultar dudas
Acceso exclusivo al nuevo contenido semanal
Acceso exclusivo al archivo de 🎙️ VETPIL Podcast
Repetimos la nasofaringoscopia para evaluar el aspecto post-dilatación. ¡Ya podemos visualizar las coanas!
En esta ocasión se aprecia muy bien dónde estaba situada la membrana estenótica, incluso puedes observar los restos de tejido fibrótico (blanquecino) al desplazarnos hacia la cavidad oral.
Esta es Arya nada más recuperarse del procedimiento anestésico 🥳 (no he muteado el sonido aunque lo parezca)
Incluso comiendo y llamando nuestra atención la diferencia es significativa 😁
Espero que te haya gustado 👌
¡Gracias por formar parte de VETPIL! 😊
- Carlos Martínez Gil






