Consenso: diagnóstico y tratamiento de enteropatías crónicas inflamatorias en perros (II)
Resumen del reciente consenso sobre enteropatías crónicas en perros.
¡Hola! 🙋♂️
Comparto contigo la segunda parte de esta serie de publicaciones sobre el recientemente publicado Consenso de diagnóstico y tratamiento de enteropatías crónicas inflamatorias en perros 🐶
¡Vamos a por ello! 💪
Diagnóstico por imagen
Diagnóstico por imagen de rutina
Recomendaciones:
La ecografía abdominal diagnóstica (evaluando las paredes intestinales, los ganglios linfáticos regionales, otros órganos y la presencia de efusión abdominal) debe considerarse en cualquier perro con sospecha de EIC para descartar enfermedades que imitan la EIC, especialmente en perros con:
Signos clínicos moderados o marcados (puntuación CIBDAI o CCECAI ≥ 6).
Pérdida de peso (≥5%).
Hipoalbuminemia.
Sin respuesta al ensayo dietético.
Consenso para establecer la Recomendación: Fuerte.
Debe considerarse la obtención de imágenes torácicas cuando exista posible afectación torácica de la EIC (ej. derrame pleural con EPP) o sospecha de otros diagnósticos diferenciales o condiciones concurrentes (ej. enfermedad cardíaca, neoplasia, o enfermedades infecciosas como la histoplasmosis o la blastomicosis)
Consenso para establecer la Recomendación: Condicional según la sospecha de afectación torácica/enfermedad concurrente.
Justificación:
La ecografía en modo B en perros con EIC sirve principalmente para excluir otros trastornos subyacentes.
El engrosamiento de la pared intestinal es común en la EIC, pero no es predictivo de inflamación.
Los cambios en la ecogenicidad mucosa, la corrugación del ID y una puntuación ecográfica acumulada elevada se asocian con EIC sintomática, pero no con la gravedad histopatológica.
La mucosa del ID hipoecogénica normal con EIC tiene ≥80% de sensibilidad y especificidad para la EIC-FR, pero los hallazgos se solapan entre los subtipos de EIC.
Los hallazgos secundarios (ej. linfadenopatía, corrugación del ID) pueden ser muy sugestivos de linfoma GI en oposición a EIC.
Hasta el 93% de los perros con EPP tienen alteraciones ecográficas en el ID, incluyendo líquido libre peritoneal (73-79%), estrías o punteados mucosos (47-91%), linfadenopatía (18-40%) y dismotilidad o distensión del ID (10-23%).
Estos no se correlacionan con la gravedad de la EPP o los requisitos de tratamiento, pero pueden asociarse con los resultados.
Las estrías hiperecogénicas tienen una sensibilidad del 75% y una especificidad del 96% para la linfangiectasia intestinal que causa EPP, pero los punteados hiperecogénicos son hallazgos no específicos.
La obtención de imágenes radiográficas juega un papel secundario en la evaluación de la EIC, y se utiliza principalmente para descartar obstrucciones o anomalías macroscópicas intraabdominales y para evaluar el derrame pleural (casos de EPP) o evidencia de condiciones no relacionadas con la EIC.
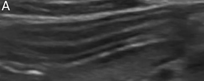
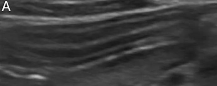
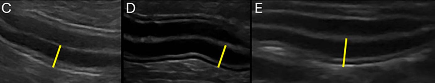
Imagen ecográfica normal de la pared intestinal:
Diferentes grados de engrosamiento de la pared intestinal y la mucosa:
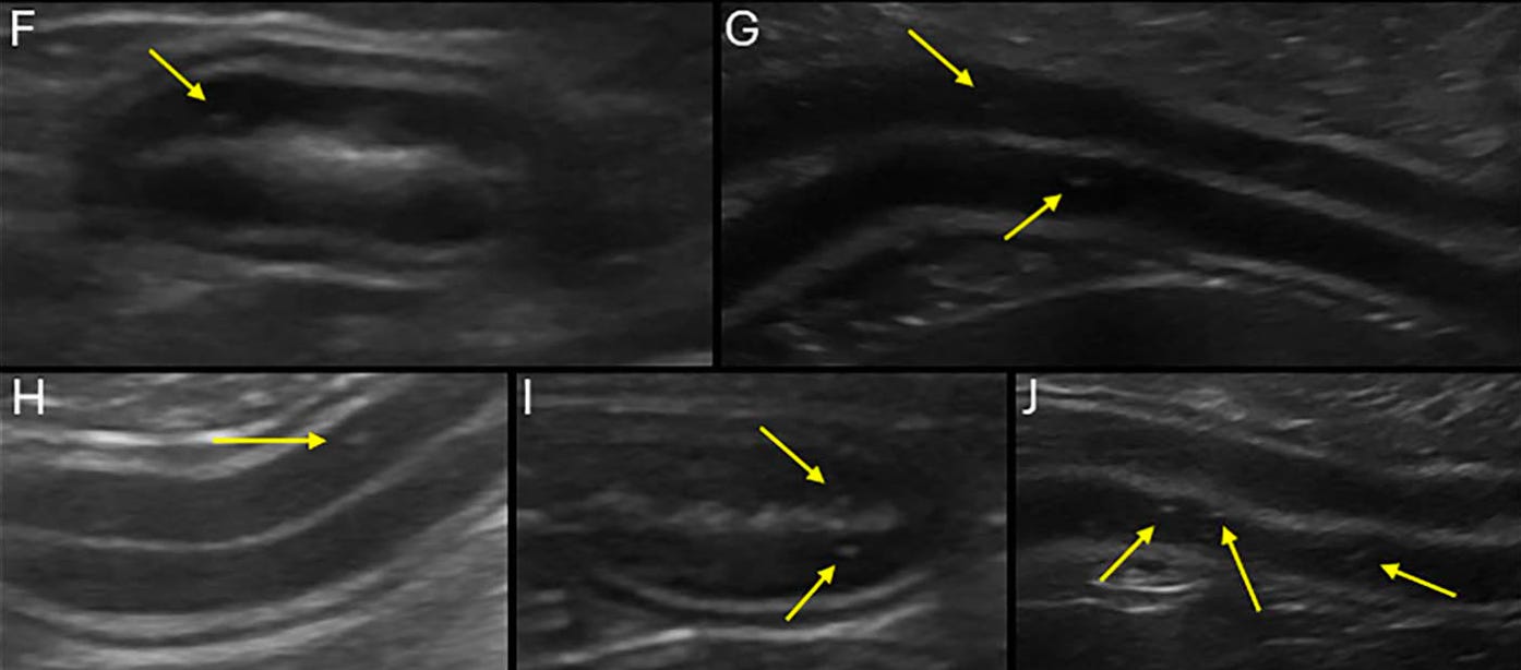
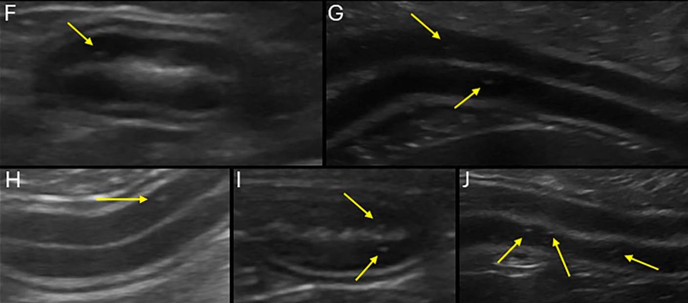
Diferentes grados de punteados hiperecogénicos de la mucosa:
Corrugación intestinal:
Diagnóstico por imagen avanzado
Recomendación:
La revisión de la literatura identificó muy poca información relevante para recomendar la ecografía con contraste, la tomografía computarizada o la enterografía por resonancia magnética para el diagnóstico de perros con EIC.
Sin embargo, estas modalidades pueden ser seleccionadas a discreción del clínico.
Consenso para establecer la Recomendación: Condicional según la indicación.
Justificación:
La ecografía con contraste puede diferenciar perros con EIC sintomática de controles sanos y los resultados se correlacionan con la gravedad clínica e histológica, pero no puede diferenciar el linfoma ni los subtipos de EIC.
Otras modalidades de imagen avanzada permanecen inexploradas en perros con EIC.
Ensayos de tratamiento diagnóstico
Intervención diagnóstica de primera elección
Recomendación:
Dado que la EIC es un diagnóstico de exclusión y se subclasifica según la respuesta al tratamiento (EIC-FR, EIC-IR), la eficacia de los ensayos de tratamiento también se considera diagnóstica.
Los ensayos de tratamiento dietético son la recomendación diagnóstica de primera elección preferida en perros con sospecha de EIC antes de realizar pruebas diagnósticas invasivas, siempre que estén clínicamente estables y no estén hipo- o anoréxicos.
Consenso para establecer la Recomendación: Fuerte.
Justificación:
La modificación dietética como prueba de tratamiento es un punto de partida terapéutico (es decir, diagnóstico-terapéutico) adecuado porque el 38-89% de los perros con EIC responden a los alimentos, y muchos perros mantienen la remisión clínica a largo plazo (>3 meses) solo con tratamiento dietético.
Ensayo de tratamiento dietético
Recomendaciones:
Los ensayos de tratamiento dietético completos deben implicar la alimentación exclusiva con una dieta terapéutica (altamente digerible, ingrediente limitado con proteína novedosa, proteína hidrolizada, proteína elemental, enriquecida en fibra, baja a ultra-baja en grasa, o preparada en casa) exclusivamente durante al menos 2 semanas.
La elección de la dieta terapéutica debe seleccionarse en función del historial dietético, los signos GI y los hallazgos relevantes de la exploración física y el diagnóstico.
Deben considerarse al menos 3 ensayos con dietas diferentes, si es posible.
Debe proporcionarse orientación al tutor para una implementación adecuada del ensayo dietético, y la respuesta clínica debe monitorizarse (mediante CIBDAI o CCECAI) al menos semanalmente.
Consenso para establecer la Recomendación: Fuerte.
Una dieta que induzca la remisión clínica debe administrarse durante al menos 12 semanas antes de intentar la transición a otra dieta diferente a la terapéutica, pero los perros con EPP podrían beneficiarse si se mantienen a largo plazo con una dieta eficaz.
Consenso para establecer la Recomendación: Condicional según la respuesta a la intervención dietética.
Justificación:
Varias categorías de dietas pueden ser eficaces en perros con EIC, dependiendo de sus signos GI específicos y el historial dietético, y la optimización de la fibra soluble dietética puede tener efectos beneficiosos sobre la homeostasis intestinal.
Las respuestas clínicas se observan típicamente dentro de los 10-14 días de iniciar el tratamiento dietético, pero la eficacia puede requerir más tiempo en algunos perros, especialmente si se producen signos clínicos intermitentes.
Las respuestas positivas pueden estar relacionadas con la cantidad, el tipo o la fuente de macronutrientes, la restricción de antígenos, u otros factores nutricionales (ej. digestibilidad, frecuencia de alimentación).
Por tanto, algunos perros con EIC (sin EPP y con EPP) pueden requerir ≥3 ensayos dietéticos adecuados antes de mostrar una respuesta.
La transición a dietas no terapéuticas tras una remisión sostenida durante 12-14 semanas se asocia con remisión clínica duradera en el 31-79% de los perros con EIC, pero las tasas de recaída son altas con la falta de cumplimiento dietético en perros con EPP.
Ensayos de tratamiento diagnóstico adicionales
Recomendaciones:
La respuesta a la intervención dietética durante al menos 2 semanas de alimentación exclusiva confirma el fenotipo de enfermedad con respuesta alimentaria de la EIC.
El tratamiento adicional con pre-, pro- o simbióticos podría considerarse en perros con sospecha de EIC (con y sin EPP) que muestren una respuesta incompleta a los ensayos dietéticos solos.
Consenso para establecer la Recomendación: Condicional según la respuesta a la intervención dietética.
Si es posible, debe documentarse primero la inflamación intestinal y caracterizarse (es decir, realizar endoscopia GI con biopsia) en perros que hayan fracasado en ≥3 ensayos dietéticos adecuadamente realizados antes de escalar el tratamiento (ej. uso de opciones de tratamiento inmunomodulador u otras).
El tratamiento antimicrobiano empírico no está recomendado en casos con sospecha de EIC, incluyendo perros con sospecha de CG asociada o ileocolitis granulomatosa (ICG).
Consenso para establecer la Recomendación: Fuerte.
Justificación:
Los pre-, pro- o simbióticos pueden ser beneficiosos cuando se administran de forma concurrente con la dieta o el tratamiento inmunomodulador, pero en la mayoría de los estudios no afectan significativamente a la respuesta clínica solos.
Un estudio mostró que un probiótico específico de múltiples cepas (8) indujo la remisión clínica en la misma medida (aunque ligeramente más lentamente) que una combinación de prednisona/metronidazol, con el beneficio añadido de inducir una respuesta inmune mucosa tolerogénica.
La respuesta al tratamiento antimicrobiano empírico (ej. tilosina) es generalmente de corta duración, además de que las tasas de recaída tras la interrupción son altas y puede persistir una disbiosis intestinal significativa a largo plazo.
Las respuestas al tratamiento inmunomodulador son generalmente rápidas (mediana para glucocorticoides de 5 días), pero la inflamación puede ser secundaria a otras causas (enfermedades que imitan la EIC), algunas de las cuales podrían verse afectadas negativamente al recibir tratamiento inmunosupresor (ej. enfermedad infecciosa como la histoplasmosis GI) o tener un peor pronóstico (ej. neoplasia GI como el linfoma).
Actualmente, ninguna evidencia apoya la combinación de ensayos dietéticos con un ciclo corto de tratamiento antiinflamatorio.
La sospecha de CG o ICG asociada a EIC requiere pruebas diagnósticas invasivas (ej. endoscopia GI con biopsia) para confirmar la enfermedad y realizar pruebas de sensibilidad antimicrobiana mediante muestras de biopsia de tejido para guiar la elección del tratamiento antimicrobiano.
Otras intervenciones destinadas a la modulación del microbioma (ej. trasplante de microbiota fecal) pueden ser beneficiosas, pero deben seguir estudiándose antes de que puedan hacerse recomendaciones.
⚠️ ¡Ya quedan poco para que empiece el I Curso de Endocrinología 🐕 🐈“!
Pincha en la imagen si quieres revisar todo el contenido y poder inscribirte:
Endoscopia con biopsia e histopatología
Diagnósticos previos a la endoscopia
Recomendación:
En perros con sospecha de EIC, antes de un ensayo de tratamiento dietético adecuadamente diseñado o de una endoscopia GI, deben realizarse una exploración física (incluyendo la evaluación de las puntuaciones CIBDAI y CCECAI), pruebas de laboratorio de rutina (hematología, bioquímica sérica con electrolitos, urianálisis y parasitología fecal), pruebas GI y pancreáticas adicionales (incluyendo cobalamina, folato, lipasa pancreática, TLI y concentración sérica de cortisol basal) e imagen diagnóstica del abdomen para descartar enfermedades que imiten la EIC.
Dependiendo de los resultados , las características del animal y el área geográfica, las pruebas diagnósticas adicionales pueden incluir una prueba de estimulación con ácidos biliares (para enfermedad hepatobiliar), prueba de estimulación con ACTH, pruebas de enfermedades infecciosas (ej. PCR de H. americana, antígeno urinario de Histoplasma spp., serología Leishmania) e imagen abdominal avanzada.
Los resultados de estas pruebas diagnósticas deben haber sido negativos (para descartar enfermedades que imiten la EIC como los endoparásitos o el hipoadrenocorticismo atípico) o compatibles con un diagnóstico de EIC (ej. hipocobalaminemia o engrosamiento de la pared intestinal en la ecografía) antes de proceder con la endoscopia GI.
Consenso para establecer la Recomendación: Fuerte.
Justificación:
Dado que la EIC es un diagnóstico de exclusión, varias pruebas diagnósticas pueden ayudar a descartar enfermedades que imiten la EIC y a reducir un posible diagnóstico de EIC antes de la endoscopia GI.
El objetivo es excluir enfermedades extra-GI (ej. pancreatitis, condiciones hepatobiliares, enfermedad renal crónica, infecciones sistémicas), así como infecciones GI y neoplasias, y confirmar la evidencia de malabsorción o pérdida de nutrientes en los casos de EPP.
Considerando los posibles diagnósticos diferenciales, estas pruebas incluyen comúnmente un hemograma, bioquímica sérica, urianálisis, TLI, lipasa pancreática específica, concentración sérica de cortisol basal, parasitología fecal (incluyendo pruebas de antígeno de Giardia spp.), concentraciones séricas de cobalamina y folato, y ecografía abdominal.
Con menor frecuencia, puede realizarse una prueba de estimulación con ACTH para descartar el hipoadrenocorticismo.
Otros marcadores, como la PCR, la calprotectina fecal y las pruebas de enfermedades infecciosas sistémicas (ej. leishmaniasis, erliquiosis, histoplasmosis) pueden recomendarse según la preferencia del clínico, la disponibilidad de las pruebas y la prevalencia geográfica.
Algunas pruebas adquieren mayor importancia ante la sospecha de EPP, concretamente la concentración sérica de albúmina, el UPC, las concentraciones séricas totales e ionizadas de calcio y magnesio y las imágenes torácicas o la ecografía POCUS, así como la TC abdominal (ej. linfangitis lipogranulomatosa).
Algunos hallazgos de imagen diagnóstica (linfadenopatía, líquido libre abdominal, masas, evidencia de cambios en órganos extra-GI) desencadenarán investigaciones adicionales para diferenciar la EIC de la neoplasia intestinal o multicéntrica (a menudo linfoma), incluyendo la aspiración percutánea con aguja fina de estructuras, tejidos o líquidos anormales para citología.
En la mayoría de los casos, debe verificarse la falta de respuesta a un ensayo dietético apropiado antes de realizar la endoscopia GI.
En los casos en que la hiporexia o la inapetencia impidan la realización de los ensayos dietéticos, la endoscopia GI está indicada para el diagnóstico de la inflamación intestinal de la EIC.
Timing y decisión para la endoscopia
Recomendación:
En perros con sospecha de EIC donde se han excluido las enfermedades que imiten la EIC (mediante exploración física, patología clínica e imagen diagnóstica) y que no han experimentado resolución de los signos clínicos tras, idealmente, al menos 3 ensayos de tratamiento dietético, debe realizarse la endoscopia para la visualización de la mucosa con recogida de muestras de biopsia endoscópica e histopatología (definida como esofagogastroduodenoscopia o ileocolonoscopia) como parte de la evaluación clínica.
La decisión de realizar la endoscopia GI debe tomarse individualmente y basarse en el historial del paciente, la reseña, la cronicidad, la gravedad de los signos clínicos y los resultados de las pruebas diagnósticas de laboratorio de rutina (ej. hipoalbuminemia marcada).
Consenso para establecer la Recomendación: Fuerte.
Justificación:
La endoscopia del tracto GI es generalmente un procedimiento seguro (la perforación GI es extremadamente rara y tiene buen pronóstico), pero requiere anestesia general y ayuno del paciente, así como preparación del intestino grueso (enemas repetidos, lavado colónico, administración de laxantes, o alguna combinación de estos) antes de la ileocolonoscopia.
La endoscopia permite la visualización de la mucosa GI para indicar cambios de la enfermedad y para clasificar las lesiones individuales, lo que puede proporcionar información pronóstica.
Las imágenes guardadas o las secuencias de video también pueden utilizarse para una reevaluación posterior.
No hay contraindicaciones absolutas para la endoscopia GI, pero los animales con hipoalbuminemia marcada o signos clínicos graves y complicaciones sistémicas podrían no ser candidatos ideales para la anestesia o el ayuno previo al procedimiento.
Las muestras de biopsia quirúrgica raramente se necesitan, pero son una opción si la endoscopia GI no es definitiva (ej. linfoma GI cuestionable) o si las lesiones están más allá del alcance del endoscopio (basándose en la ecografía abdominal).
Aunque la endoscopia es valiosa para obtener muestras de biopsia dirigidas, los hallazgos histológicos no diferencian a los perros que responderán a la intervención dietética frente a otras modalidades de tratamiento, y muchos perros sí responden a un ensayo de tratamiento dietético.
Sin embargo, en perros clínicamente estables con hipoalbuminemia o signos clínicos graves, la recogida de muestras de biopsia podría considerarse de forma concurrente con un ensayo de tratamiento dietético.
Los perros con hipoalbuminemia pueden experimentar una progresión rápida de los signos clínicos, y los hallazgos histológicos pueden orientar el tratamiento específico.
Procedimiento endoscópico
Recomendación:
En perros con sospecha de EIC que se sometan a endoscopia para la visualización de la mucosa GI con recogida de muestras de biopsia endoscópica e histopatología, deben realizarse tanto la endoscopia GI superior (evaluación del esófago, estómago, duodeno y yeyuno proximal) como la inferior (íleon, ciego y colon).
Las muestras de biopsia recogidas de cada segmento (idealmente al menos 10-15 por localización intestinal) deben ser de tamaño, calidad y cantidad adecuados para permitir una evaluación histopatológica exhaustiva.
Consenso para establecer la Recomendación: Fuerte.
Actualmente, la información actual es demasiado limitada para recomendar la endoscopia con cápsula de video en perros con EIC.
Justificación:
La presencia y gravedad de los signos GI ayudan a localizar qué segmentos deben examinarse endoscópicamente.
La esofagogastroduodenoscopia permite la visualización directa y la biopsia mucosa dirigida del estómago, el duodeno y el yeyuno proximal (perros pequeños).
En animales con EPP, la biopsia mucosa del ID puede determinar la causa de la pérdida entérica de proteínas plasmáticas.
La ecografía abdominal puede identificar estrías mucosas hiperecogénicas del ID sugestivas de dilatación linfática en perros con linfangiectasia intestinal.
La hipocobalaminemia o la hipofolatemia marcada son otras indicaciones para la endoscopia GI y sugieren un trastorno mucoso focal o difuso que afecta a la absorción en el ID proximal (duodeno) o distal (íleon).
La ileoscopia requiere colonoscopia y se realiza junto con la endoscopia GI alta cuando se sospecha una enteropatía difusa (EIC, linfoma intestinal, linfangiectasia) o cuando la enfermedad del colon se complica con signos sistémicos (ej. anorexia, pérdida de peso).
Las muestras de biopsia ileal pueden proporcionar un diagnóstico no disponible con la biopsia duodenal, y las muestras pueden contener lesiones histopatológicas que difieren de las muestras de biopsia duodenal.
La biopsia ciega del íleon debe considerarse cuidadosamente si no es posible el paso del endoscopio a través de la válvula ileocólica.
La colonoscopia está indicada en animales con diarrea crónica o recurrente del intestino grueso que no responde a los ensayos terapéuticos de rutina.
El número recomendado de muestras de biopsia endoscópica adecuadas obtenidas de cada órgano incluye:
Estómago (n = 6).
Duodeno (n = 10-15).
Íleon (n = 3-5).
Colon (n = 9-12).
La friabilidad mucosa, la granularidad, las úlceras o erosiones, las lesiones blanquecinas y las masas a menudo se asocian con anomalías histopatológicas.
Las apariencias mucosas anormales deben clasificarse mediante índices de puntuación publicados, registradas en historial médico del animal utilizando formularios de informe endoscópico estándar, y proporcionadas al patólogo para ayudar en la interpretación de los hallazgos histológicos.
Y si te ❤️ VETPIL por muy poco puedes apoyar mi contenido a la vez que recibes todo esto:
Acceso exclusivo al 📁 Archivo con +200 publicaciones disponibles
Posibilidad de hacer 🙋 comentarios en las publicaciones para consultar dudas
Acceso exclusivo al nuevo contenido semanal
Acceso exclusivo al archivo de 🎙️ VETPIL Podcast
Evaluación histopatológica
Recomendación:
En perros con sospecha de EIC que se sometan a recogida endoscópica de muestras de biopsia, la evaluación histopatológica de rutina de las muestras de biopsia de cada segmento debe incluir la evaluación de secciones teñidas con hematoxilina/eosina utilizando los criterios de la Asociación Mundial de Veterinarios de Pequeños Animales (WSAVA) o criterios WSAVA modificados para evaluar la gravedad de las lesiones inflamatorias y morfológicas.
La inmunohistoquímica para identificar marcadores inflamatorios y poblaciones de leucocitos
Tinciones especiales (ej. ácido peryódico-Schiff [PAS]) para identificar agentes infecciosos.
Pruebas diagnósticas moleculares para caracterizar la disbiosis (ej. hibridación fluorescente in situ (FISH)).
Diferenciar la EIC grave del linfoma intestinal (ej. reacción en cadena de la polimerasa para reordenamientos del receptor de antígenos (PARR)) y otros cánceres GI deben considerarse, según la sospecha clínica y los hallazgos de la histopatología de rutina.
Consenso para establecer la Recomendación: Fuerte.
Justificación:
La evaluación histopatológica de las muestras de biopsia GI endoscópica ha seguido en gran medida las directrices publicadas por la WSAVA o una versión modificada (simplificada).
Estas directrices proporcionan puntuaciones de gravedad numérica para los hallazgos morfológicos, arquitectónicos e inflamatorios en el estómago (antro y fundus), el duodeno y el colon.
Aunque no se incluye en las directrices originales, las puntuaciones para el íleon también se informan usando las directrices para el duodeno.
La orientación óptima de las muestras del ID es esencial para una evaluación precisa e idealmente debe incluir la longitud completa de las vellosidades y la mucosa que se extiende hasta la muscular.
Aunque las directrices de la WSAVA representan el primer enfoque integral y estandarizado para la evaluación histopatológica, otro estudio determinó que para algunas variables, la concordancia entre observadores entre los patólogos era deficiente y propuso una versión simplificada, que era repetible entre los patólogos y mostraba una correlación significativa con la actividad clínica de la enfermedad en perros con EIC.
Para el estómago (antro y fundus), la fibrosis es la única variable morfológica y arquitectónica que debe evaluarse y cuantificarse (0-3: alteración de normal a grave).
La fibrosis refleja eficazmente la pérdida glandular, ya que el reemplazo es por colágeno.
Para el duodeno y el íleon, el atrofiamiento de las vellosidades (atrofia), la dilatación de las criptas, la dilatación de los lactíferos y la lesión del epitelio superficial son las variables morfológicas que se evalúan y cuantifican.
En el colon, la lesión del epitelio superficial, la dilatación y distensión de las criptas, la fibrosis y el número de células caliciformes (introducido formalmente en 2014) son las variables morfológicas evaluadas y cuantificadas.
En todos los tejidos, las variables inflamatorias a evaluar y cuantificar incluyen:
Infiltrados de la lámina propia de linfocitos.
Células plasmáticas.
Eosinófilos.
Neutrófilos.
Puntuados de 0-3: normal/esperado a números marcadamente aumentados).
Adicionalmente, solo en el estómago, los linfocitos intraepiteliales se evalúan y cuantifican.
Determinar la falta de concordancia entre el diagnóstico histopatológico en el duodeno, en comparación con el íleon, para la inflamación (ej. solo un 17% de concordancia para la enteritis eosinofílica) requiere la evaluación histopatológica que incluya idealmente ambas localizaciones.
La hematoxilina y eosina es la tinción histoquímica de rutina para todas las evaluaciones histopatológicas.
Otras tinciones, como el PAS para agentes infecciosos y el tricrómico de Masson para la fibrosis, tienen actualmente evidencia limitada que apoye su uso además de lo que puede evaluarse y puntuarse de forma rutinaria basándose solo en la tinción H&E.
Aunque la biopsia intestinal con histopatología sigue siendo el estándar de referencia para confirmar la inflamación mucosa y las lesiones estructurales de la EIC, las pruebas moleculares pueden utilizarse para caracterizar la disbiosis y diferenciar la EIC grave del linfoma intestinal y otros cánceres GI.
La evidencia molecular de la desregulación inmunológica en los perros afectados incluye:
Aumento de la expresión mucosa del factor nuclear “kappa-light-chain-enhancer” de las células B activadas (NF-KB).
La proteína Ki-67.
El ARNm del receptor Toll-like 2 (TLR2).
Disminución del cociente ARNm y proteína del antagonista del receptor de la interleucina-1 (IL-1) (IL-1Ra): IL-1β intestinal.
Aumento del ARNm del dominio de oligomerización de unión a nucleótidos 2 (NOD2) y de la actividad del NF-KB en tejidos inflamados.
El aumento del número de células inmunes innatas (macrófagos, células dendríticas [cúmulo de diferenciación (CD)11c+]) y adaptativas (T CD3+, inmunoglobulina G [IgG]) en la lámina propia contribuye al proceso inflamatorio.
Aunque son informativos para definir la patogénesis de la enfermedad, la mayoría de las pruebas solo se utilizan en entornos de investigación y no están disponibles como pruebas comerciales.
La disbiosis está irrefutablemente asociada con la inflamación intestinal en perros con EIC.
Diferentes técnicas moleculares (secuenciación Illumina, FISH e índice de disbiosis fecal basado en qPCR) han confirmado patrones generales de disbiosis, incluyendo la disminución de la biodiversidad con aumento de Proteobacteria y disminución de Fusobacteria, Clostridia y Bacteroidaceae en muestras biológicas.
Mediante FISH, se encuentran AIEC dentro de la mucosa colónica inflamada de perros con CG o ICG.
Las pruebas moleculares pueden ser útiles para diferenciar el linfoma intestinal (de células pequeñas) de la EIC grave mediante el análisis secuencial de histología H&E, inmunofenotipado, Ki-67 y PARR o mediante la confirmación del aumento de células positivas para Forkhead box p3 (Foxp3+) (células T reguladoras [Tregs]) en tejidos neoplásicos.
La expresión de determinados microARNs (miR) en heces (miR-451, miR-223 y miR-27a) y suero (miR-20b, miR-148a-3p, miR-652) puede servir como marcadores no invasivos para diferenciar el cáncer GI de la EIC en perros.
Endoscopia e histopatología de seguimiento
Recomendación:
En perros diagnosticados de EIC basándose en la histopatología que no hayan experimentado resolución o que muestren empeoramiento de los signos clínicos tras la fase de inducción del tratamiento (es decir, un ensayo de tratamiento adecuadamente diseñado), los clínicos podrían considerar la reevaluación endoscópica de la mucosa GI (o, si se indica la biopsia de espesor completo o el muestreo de otros órganos abdominales, una laparotomía o laparoscopia exploratoria) y la re-biopsia para histopatología como parte de la reevaluación clínica para excluir el linfoma GI que no se detectó en la primera evaluación.
Consenso para establecer la Recomendación: Condicional.
Justificación:
Pocos informes han demostrado el beneficio (ej. mejoría de la inflamación histológica) de la repetición de la endoscopia GI con histopatología para evaluar la curación mucosa y la remisión profunda en perros con EIC.
El valor principal de la repetición de la endoscopia con biopsia mucosa es excluir el linfoma GI u otros cánceres GI que no se detectaron en la primera evaluación diagnóstica.
En breve repasaremos la tercera parte 🤓
¡Gracias por formar parte de VETPIL! 😊
- Carlos Martínez Gil












ESTUPENDO, THANKS.